Рисунки для срисовки и не только Папик.Про


рисунок почка гистология для срисовки

Рисунок почки гистологии позволяет визуализировать и изучить структуру и организацию клеток, тканей и элементов почечной системы. Этот рисунок представляет собой детальное изображение микроскопических особенностей почки, таких как клубочки, канальцы, артерии и вены, а также эпителиальные слои. Он помогает углубить наше понимание функционирования почек, их роли в фильтрации и выведении отходов и поддержании водно-электролитного баланса организма. Такой рисунок является важным инструментом для студентов медицинских и биологических специальностей, а также для исследователей и профессионалов, интересующихся гистологией и функционированием почек.


Корковое вещество почки гистология препарат
Корковое вещество почки гистология препарат

Строение мозгового вещества почки гистология
Строение мозгового вещества почки гистология

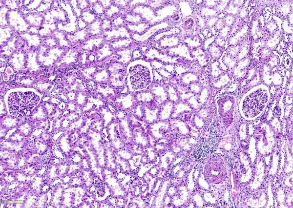
Строение паренхимы почки гистология
Строение паренхимы почки гистология

Гистологический срез почки
Гистологический срез почки

Почка человека гистология препарат
Почка человека гистология препарат

Строение мозгового вещества почки гистология
Строение мозгового вещества почки гистология

Корковое вещество почки гистология
Корковое вещество почки гистология

Мозговое вещество почки гистология
Мозговое вещество почки гистология

Строение почки гистология
Строение почки гистология

Корковое вещество почки гистология препарат
Корковое вещество почки гистология препарат

Нефрон почки гистология
Нефрон почки гистология

Нефрон гистология препарат
Нефрон гистология препарат

Корковое вещество почки гистология
Корковое вещество почки гистология

Почечное тельце и юкстагломерулярный аппарат
Почечное тельце и юкстагломерулярный аппарат

Почечные тельца гистология
Почечные тельца гистология

Канальцы нефрона гистология
Канальцы нефрона гистология

Строение почек анатомия и гистология
Строение почек анатомия и гистология

Петля Генле гистология
Петля Генле гистология

Нефрон гистология препарат
Нефрон гистология препарат

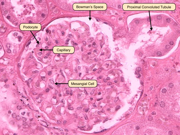
Почечный клубочек гистология
Почечный клубочек гистология

Мозговое вещество почки гистология препарат
Мозговое вещество почки гистология препарат

Корковое вещество почки гистология
Корковое вещество почки гистология

Проксимальный извитой каналец нефрона гистология
Проксимальный извитой каналец нефрона гистология

Почка крысы препарат гистология
Почка крысы препарат гистология

Строение мозгового вещества почки гистология
Строение мозгового вещества почки гистология

Юкстагломерулярный аппарат гистология
Юкстагломерулярный аппарат гистология

Клетки дистальных канальцев почки
Клетки дистальных канальцев почки

Структуры коркового вещества почки гистология
Структуры коркового вещества почки гистология

Строение клубочка почки гистология
Строение клубочка почки гистология

Почка окраска гематоксилин-эозином
Почка окраска гематоксилин-эозином

Мозговое вещество почки гематоксилин эозин
Мозговое вещество почки гематоксилин эозин

Почка окраска гематоксилин-эозином
Почка окраска гематоксилин-эозином

Строение проксимального канальца гистология
Строение проксимального канальца гистология

Схема юкстагломерулярного аппарата почек
Схема юкстагломерулярного аппарата почек

Строение стенки мочеточника гистология
Строение стенки мочеточника гистология

Эпителий собирательных почечных трубочек
Эпителий собирательных почечных трубочек

Почка (гематоксилин-эозин) препарат гистология
Почка (гематоксилин-эозин) препарат гистология

Канальцы почки гистология препарат
Канальцы почки гистология препарат

Проксимальный извитой каналец нефрона гистология
Проксимальный извитой каналец нефрона гистология

Схема строения нефрона гистология
Схема строения нефрона гистология

Корковое вещество почки гистология
Корковое вещество почки гистология

Мочеточник гистология препарат
Мочеточник гистология препарат

Почка микропрепарат гистология
Почка микропрепарат гистология

Почечные канальцы гистология
Почечные канальцы гистология

Лёгкое человека гистология
Лёгкое человека гистология

Препарат почки гистология микроскоп
Препарат почки гистология микроскоп

Поперечный срез мочеточника гистология
Поперечный срез мочеточника гистология

Срез почки гистология
Срез почки гистология

Почечный клубочек гистология
Почечный клубочек гистология

Смотрите онлайн или можете скачать на телефон или компьютер в хорошем качестве совешенно бесплатно. Не забывайте оставить комментарий и посмотреть другие фотографии и изображения высокого качества, например дизайнер профессия рисунок и филимоновской игрушки рисунок из раздела Рисунки


Уважаемый посетитель, Вы зашли на сайт как незарегистрированный пользователь. Мы рекомендуем Вам зарегистрироваться либо зайти на сайт под своим именем.