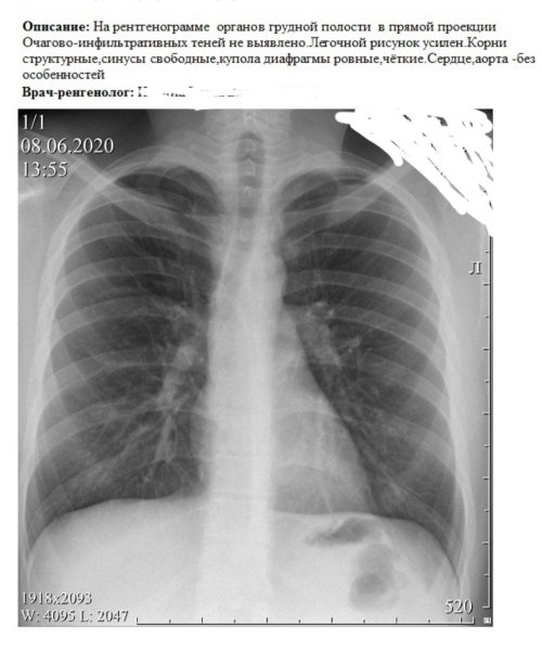
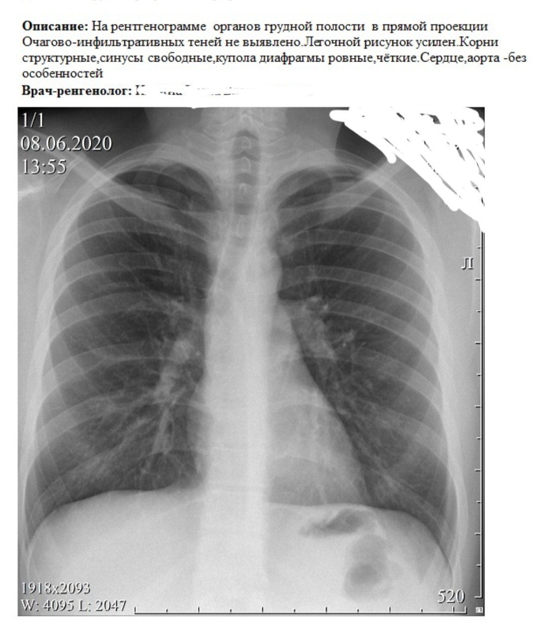
Усиление сосудистого рисунка легких на рентгене - это явление, которое может быть наблюдаемо при проведении рентгенологического исследования органов дыхания. В результате усиления сосудистого рисунка, на снимке становятся более заметными сосуды, расположенные внутри легких. Это может свидетельствовать о различных патологических процессах, таких как воспаление легких, обструкция дыхательных путей или сердечная недостаточность. Усиление сосудистого рисунка является важным признаком для постановки диагноза и выбора оптимального лечения. Однако, для точной интерпретации рентгеновского снимка необходимо учитывать и другие клинические данные, а также провести дополнительные исследования, если необходимо.








Grizly.club