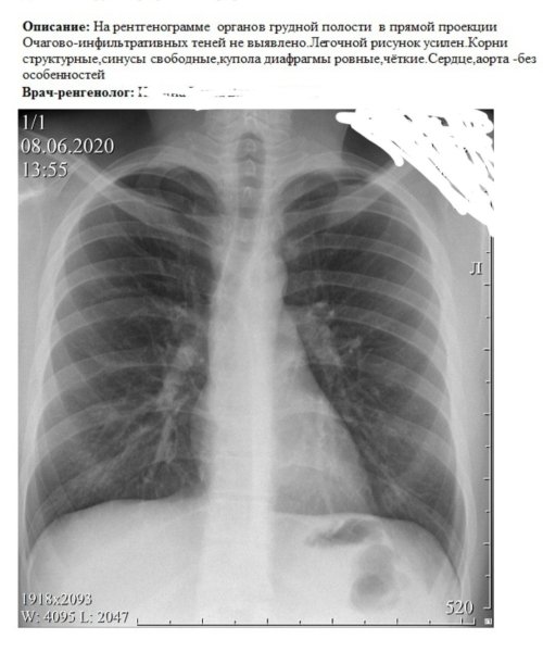
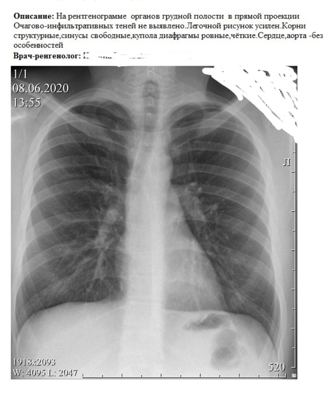
Усиление сосудистого рисунка легких у ребенка может быть признаком различных патологий и состояний. Это визуальное изменение на рентгеновских снимках обычно связано с увеличением притока крови в сосуды легких, что может указывать на наличие воспалительных процессов, инфекций или аллергических реакций. Также это наблюдается при повышении давления в легочной артерии, что может быть вызвано сердечными заболеваниями или другими патологиями системы кровообращения. В любом случае, обнаружение усиленного сосудистого рисунка легких у ребенка требует дополнительного обследования и консультации с педиатром или пульмонологом для постановки точного диагноза и назначения соответствующего лечения.






Grizly.club