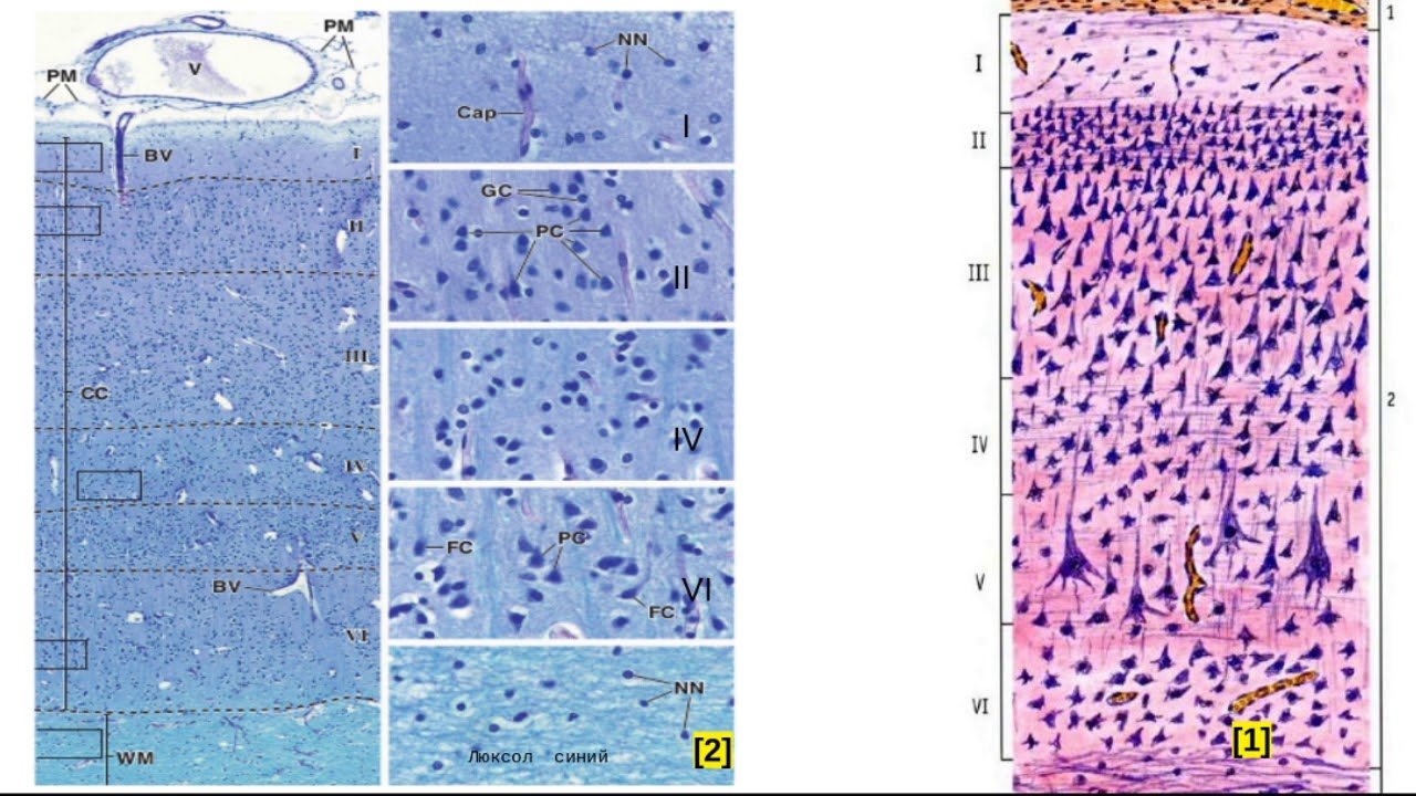
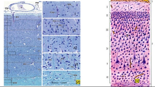
Кора больших полушарий головного мозга - это сложная структура, которая играет важную роль в функционировании мозга. Она состоит из множества клеток и нервных волокон, которые образуют сложные связи и сети. Гистология коры полушарий позволяет изучить ее структуру на микроскопическом уровне и различить различные типы нервных клеток и их расположение. Рисунок гистологии коры полушарий является важным инструментом для визуального представления этой структуры и помогает ученым и специалистам лучше понять ее функциональное значение.









Grizly.club