Рисунки для срисовки и не только Папик.Про


трахея гистология рисунок для срисовки

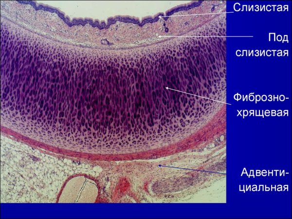
Трахея - это орган дыхательной системы, который соединяет гортань с бронхами. Она имеет сложную структуру и выполнена из гладкой мышечной ткани, хрящей и соединительной ткани. Гистологический рисунок трахеи позволяет визуализировать микроскопическое строение этого органа. На нем можно увидеть эпителиальный слой, состоящий из клеток с мигрирующими ресничками, оказывающих защитную функцию. Также на рисунке видно под эпителием обильное коллагеновое волокно и хрящевую основу, обеспечивающую прочность и эластичность трахеи. Гистологический рисунок трахеи является важным инструментом для понимания ее строения и функций.


Трахея гистология препарат
Трахея гистология препарат

Трахея гистология препарат
Трахея гистология препарат

Трахея поперечный срез гистология
Трахея поперечный срез гистология

Трахея поперечный срез гистология
Трахея поперечный срез гистология

Трахея гистология препарат гематоксилин эозин
Трахея гистология препарат гематоксилин эозин

Гистологический препарат трахеи
Гистологический препарат трахеи

Срез трахеи гистология препарат
Срез трахеи гистология препарат

Трахея гистология препарат
Трахея гистология препарат

Трахея собаки гистология препарат
Трахея собаки гистология препарат

Трахея собаки окраска гематоксилин и эозин
Трахея собаки окраска гематоксилин и эозин

Трахея поперечный срез гистология
Трахея поперечный срез гистология

Трахея поперечный срез гистология
Трахея поперечный срез гистология

Оболочки трахеи гистология
Оболочки трахеи гистология

Трахея собаки препарат
Трахея собаки препарат

Трахея поперечный срез гистология
Трахея поперечный срез гистология

Поперечный срез трахеи
Поперечный срез трахеи

Гиалиновый хрящ эпителий
Гиалиновый хрящ эпителий

Трахея гистология препарат
Трахея гистология препарат

Трахея гистология препарат
Трахея гистология препарат

Слизистая оболочка трахеи гистология
Слизистая оболочка трахеи гистология

Трахея гематоксилин эозин
Трахея гематоксилин эозин

Реснитчатый эпителий гистология препарат
Реснитчатый эпителий гистология препарат

Trachea гистология
Trachea гистология

Оболочки стенки трахеи гистология
Оболочки стенки трахеи гистология

Оболочки стенки трахеи гистология
Оболочки стенки трахеи гистология

Слизистая оболочка трахеи гистология
Слизистая оболочка трахеи гистология

Гистологическое строение трахеи
Гистологическое строение трахеи

Строение оболочек трахеи
Строение оболочек трахеи

Строение стенки трахеи гистология
Строение стенки трахеи гистология

Трахея гистология препарат
Трахея гистология препарат

Трахея собаки гистология препарат
Трахея собаки гистология препарат

Трахея анатомия поперечный разрез
Трахея анатомия поперечный разрез

Препарат трахея окраска гематоксилин-эозин
Препарат трахея окраска гематоксилин-эозин

Трахея поперечный срез гистология
Трахея поперечный срез гистология

Слизистая оболочка гортани гистология
Слизистая оболочка гортани гистология

Мерцательный эпителий гистология
Мерцательный эпителий гистология

Эпителий трахеи гистология препарат
Эпителий трахеи гистология препарат

Однослойный мерцательный эпителий препарат
Однослойный мерцательный эпителий препарат

Трахея гистология препарат
Трахея гистология препарат

Хрящевая ткань гистология гиалиновый хрящ
Хрящевая ткань гистология гиалиновый хрящ

Трахея микропрепарат гистология
Трахея микропрепарат гистология

Строение слизистой оболочки бронхов гистология
Строение слизистой оболочки бронхов гистология

Бронхи трахея анатомия Синельников
Бронхи трахея анатомия Синельников

Однослойный многорядный мерцательный эпителий трахеи препарат
Однослойный многорядный мерцательный эпителий трахеи препарат

Trachea Histology
Trachea Histology

Гортань гистология препарат
Гортань гистология препарат

Волосистая часть головы гистология
Волосистая часть головы гистология

Атлас гистология дыхательная система
Атлас гистология дыхательная система

Строение бронхов гистология
Строение бронхов гистология

Смотрите онлайн или можете скачать на телефон или компьютер в хорошем качестве совешенно бесплатно. Не забывайте оставить комментарий и посмотреть другие фотографии и изображения высокого качества, например письмо рисунок и собака хаски рисунок из раздела Рисунки


Уважаемый посетитель, Вы зашли на сайт как незарегистрированный пользователь. Мы рекомендуем Вам зарегистрироваться либо зайти на сайт под своим именем.